雙立柱結構設計 PLD6500


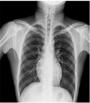
PLD6500系列是普利德研發的醫用數字X線攝影機,采用雙立柱結構,可供各級醫院放射科對頭部、胸部、腹部、腰椎、四肢等部位進行立位、臥位、正位、側位的數字攝影檢查。

● 人體圖像化模型
搭配直觀的人體圖像化系統,一鍵調整曝光參數。
● 3D擺位指示
根據要拍攝的部位自動生成3D擺位示意圖,引導患者擺位。
● 畫面自適應
屏幕配置重力感應裝置,畫面自動旋轉調整。
● 信息雙向傳輸
觸控屏與工作臺信息同步,雙向傳輸患者曝光協議。

● 雙立柱結構設計
床位攝影和站立位攝影迅速切換,立柱旋轉角度大。
● 球管運動靈活
便于對關節等復雜部位的多角度攝影檢查。
● 床體運動維度多
無需患者移動即可完成對全身各部位的檢查。
● 球管大范圍升降
球管上下升降范圍大,便于站立位時足踝負重狀態下的檢查。

● 自動對中*
球管自動對準探測器中心點,無需手動校準。
● 自動跟蹤*
配備球管與平板聯動控制系統,上下移動時自動跟蹤。
● 自動曝光控制
無需手動調節,系統自動控制射線劑量,獲得適當的感光量。
● 圖像拼接
系統可識別曝光圖像,無需設置識別點即可完成拼接。